Мед Атлант

У Богородчанах провели складну реконструктивну операцію військовослужбовцю

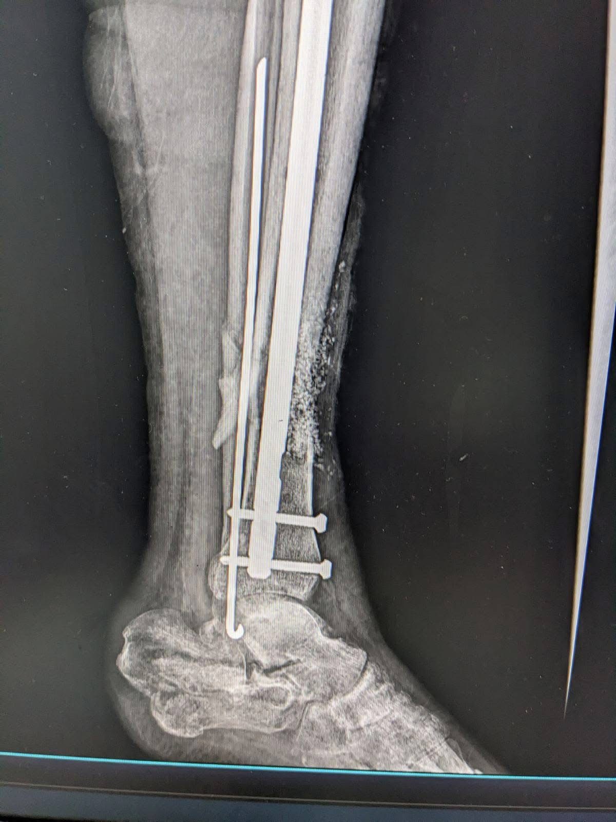
У Богородчанській центральній лікарні виконали складне реконструктивне оперативне втручання військовослужбовцю з післятравматичним дефектом кісткової тканини.

Як повідомили у медзакладі, під час операції лікарі відновили цілісність кістки із застосуванням аутокісткової пластики (власної кістки пацієнта) у поєднанні з біоактивним біосклом. Такий сучасний підхід дозволяє стимулювати регенерацію кісткової тканини, покращити остеоінтеграцію, зменшити ризик ускладнень та сприяти швидшому функціональному відновленню.

У лікарні зазначають, що використане біоактивне біоскло було придбане за кошти закладу. Це дало можливість забезпечити пацієнта сучасними матеріалами без додаткового фінансового навантаження.

Втручання провела команда травматологів-ортопедів із дотриманням сучасних принципів реконструктивної хірургії.

«Для нас це не просто операція — це можливість повернути захисника до активного життя та служби. Працюємо щодня, щоб якісна високоспеціалізована допомога була доступною тут, у нашій громаді. Дякуємо нашим військовим за довіру. Бережемо кожного», — наголошують у медзакладі.

Відтепер читайте найважливіші новини МІСТА.у Telegram

Loading...