Мед Атлант

У Франківську військовому Повітряних сил вперше провели сучасну хондропластику із застосуванням стовбурових клітин

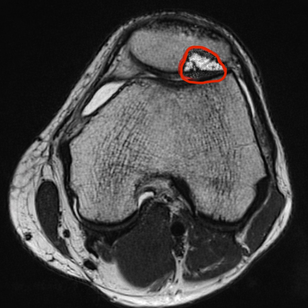
У Центральній міській клінічній лікарні Івано-Франківська військовослужбовцю Повітряних сил Сергію виконали сучасну хондропластику надколінника із застосуванням стовбурових клітин. Подібне втручання у Франківську провели вперше.

До травматологів лікарні боєць звернувся зі скаргами на постійний біль у передніх відділах коліна, який посилювався під час фізичних навантажень, та характерний хрускіт.

«В один момент я просто став на ногу і вона перестала нормально функціонувати. Мені важко сказати, де саме отримав травму», — розповідає військовий.

Сергій мобілізувався у 2022 році: спершу служив у 36-й бригаді морської піхоти, а після проходження ВЛК у 2023-му був переведений до Повітряних сил. До служби займався боксом, однак, каже, військові навантаження виявилися значно важчими за спортивні.

Після МРТ медики встановили діагноз — хондромаляція надколінника IV ступеня (глибоке руйнування хряща).

«Якби пацієнт не звернувся вчасно, процес міг перейти на стегнову кістку, порушилась би біомеханіка коліна, а в крайньому випадку все могло завершитися ендопротезуванням», — пояснив травматолог лікарні Андрій Чужак.

Медики провели малоінвазивну операцію за сучасною методикою AMIC (Autologous Matrix-Induced Chondrogenesis). Втручання виконали закритим способом через малі доступи. Під час операції очистили ушкоджену ділянку хряща, здійснили мікрофрактурування кістки, автотрансплантацію губчастої кістки, застосували PRP-терапію та автологічні стовбурові клітини, після чого дефект закрили багатошаровою колагеновою мембраною.

За словами лікаря, така мембрана створює біологічні умови для формування нового хрящоподібного покриття. Методика вже понад 10 років використовується в Німеччині та близько шести — у Польщі. В Україні її застосовують у Києві, а у Франківську подібне втручання виконали вперше.

Операцію Сергію провели минулого року. Наразі він продовжує службу у Повітряних силах.

Відтепер читайте найважливіші новини МІСТА.у Telegram

Loading...